清澄白河駅徒歩30秒の
矯正歯科医院
清澄白河駅前矯正歯科

電話予約お気軽に! WEB予約24h受付 アクセス診療時間

症例紹介

Case

  • TOP
  • 矯正症例④:成人矯正(二期治療)歯がガタガタしている、口元が出ている

著者:

矯正症例④:成人矯正(二期治療)歯がガタガタしている、口元が出ている

症例

BEFORE AFTER

Before
After
年齢 年齢
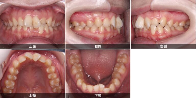
主訴 歯がガタガタしている、口元が出ている
症状 初診時は上下の歯にガタガタ(叢生)がみられ、かみ合わせは前歯が深くかみ込む過蓋咬合の状態でした。また、口元の突出感があり、横顔では鼻先と顎先を結んだライン(Eライン)よりも口唇が前方に位置していました。
治療内容 叢生を改善し前歯を後方へ下げるためのスペースを確保するため、上下左右の小臼歯抜歯を伴うマルチブラケット装置での治療を選択しました。抜歯で得られたスペースを最大限に活用するためアンカースクリューを併用します。また、過蓋咬合を改善するために上下顎前歯の圧下(歯を歯ぐきの方向へ適切に移動させる処置)を行うこととしました。
抜歯によって十分なスペースが確保され、重なっていた歯はきれいに整い良好なかみ合わせとなりました。前歯を後方へ移動させたことで口元の突出感が和らぐことでEラインがきれいに整い、洗練された印象になりました。
抜歯部位 小臼歯抜歯
治療期間 2年4ヶ月
費用(税込) 99万円(税込)
治療のリスク 痛み・不快感・虫歯・歯周病・歯根吸収・歯肉退縮

関連記事

カテゴリ

当医院について

半蔵門線・大江戸線「清澄白河駅」徒歩1分。「通うのが楽しみになる」矯正歯科。日本矯正歯科学会認定医の女性歯科医師2名体制で、お一人おひとりの歯並びやライフスタイルに寄り添った丁寧な矯正治療を行っています。