清澄白河の矯正歯科
清澄白河駅前矯正歯科
初めてのご来院に
関するご質問
ご予約・お問い合わせ
doctor
ドクター紹介
清澄白河の矯正歯科|清澄白河駅前矯正歯科
女性歯科医師2名体制 矯正治療を専門とする
清澄白河駅前矯正歯科 院長 小針 真衣
患者さまとしっかりと向き合い
気持ちに寄り添うこと
院長の小針真衣と申します。
このページをご覧になっている皆さまは、歯並びに関する何らかのお悩みやご希望をお持ちのことと思いますが、その内容はお一人おひとり異なります。そのため初診カウンセリングはもちろんのこと、治療が始まってからもお話を丁寧に伺うことを大切にしています。
当院では皆さまが自信を持って笑える毎日を送れるよう、誠心誠意お手伝いさせていただきます。どうぞお気軽にご相談ください。
経歴
東北大学 歯学部 卒業
東北大学大学院歯学研究科
顎口腔矯正学分野 修了(歯学博士)
東北大病院 矯正歯科勤務(医員)
資格・所属
優秀学位研究賞 受賞
日本矯正歯科学会 認定医
日本舌側矯正歯科学会
東北矯正歯科学会
日本矯正歯科学会
清澄白河駅前矯正歯科 院長 金城 里阿
患者さまにとって
本当に価値のある
治療の選択肢を
院長の金城里阿と申します。
私は矯正歯科医として治療に携わる一方で、30歳から自身も矯正治療を経験しました。矯正治療は、決して短い期間ではありません。
だからこそ、当院では患者様が通院のたびに治療の進みを実感し、前向きな気持ちで治療に向き合っていただけるよう、治療毎の説明やヒアリングを心がけています。
皆様とお会いできる日を、心より楽しみにしております。
経歴
東北大学 歯学部 卒業
東北大学大学院歯学研究科
顎口腔矯正学分野 修了(歯学博士)
東北大学病院 矯正歯科勤務(医員)
東北大学大学院 非常勤講師
資格・所属
優秀学位研究賞 受賞
日本矯正歯科学会 優秀演題賞 受賞
日本矯正歯科学会 学術奨励賞 受賞
日本矯正歯科学会 認定医
東北矯正歯科学会
日本矯正歯科学会
concept
診療理念
清澄白河の矯正歯科|清澄白河駅前矯正歯科
通うのが
楽しみになる矯正歯科
当院は「通うのが楽しみになる矯正歯科」を目指しています。
矯正治療は定期的な通院が必要で時に大変に感じることもあります。
だからこそ治療の過程を大切にし、
定期的にお口の状態を一緒に確認しながら進行状況を
共有することで変化を実感し、
安心して治療を続けていただけるよう心掛けています。
treatment
診療案内
清澄白河の矯正歯科|清澄白河駅前矯正歯科
患者さま一人ひとりに寄り添う
矯正専門の歯科治療を
清澄白河駅前矯正歯科では、成人矯正から小児矯正まで、幅広い矯正治療に対応しています。
歯並びを整えるだけでなく、噛み合わせや口元のバランス、ライフスタイルまで踏まえながら、一人ひとりに合った治療方法をご提案します。
治療内容や期間、費用についてもわかりやすくご説明し、ご納得いただいたうえで進めることを大切にしています。
your concerns
お悩み別の治療
清澄白河の矯正歯科|清澄白河駅前矯正歯科
自分の歯並びのお悩みを知り、
自分に合った矯正治療を
見つけましょう。
歯並びや噛み合わせのお悩みは、人それぞれ異なります。清澄白河駅前矯正歯科では、出っ歯や受け口、叢生、すきっ歯など、気になる症状に合わせて矯正治療をご提案しています。
見た目のお悩みだけでなく、噛み合わせや口腔機能にも配慮しながら、矯正専門の視点で丁寧に診断・ご説明いたします。
ご自身やお子さまのお悩みに近いページから、ぜひご覧ください。
feature
当院の特徴
清澄白河の矯正歯科
清澄白河駅前矯正歯科
わかりやすい説明と専門性
当院では、矯正治療を専門とする女性歯科医師2名体制で、こどもから大人まで幅広いお悩みに対応しています。清澄白河駅徒歩30秒の通いやすい立地に加え、治療内容・期間・費用だけでなく、「なぜその治療方針なのか」まで丁寧にご説明し、ご納得いただいたうえで治療を進めることを大切にしています。
当院の特徴
女医在籍で女性ならではの
お悩みにも寄り添う
Female Orthodontists
女医在籍で女性ならではの
お悩みにも寄り添う
結婚・妊娠・出産など、女性のライフステージの変化にも配慮しながら治療をご提案します。女性ならではの視点で、見た目に関するお悩みも安心してご相談いただけます。
矯正専門の
二人の院長
Two Doctors, One Team
矯正専門の
二人の院長
日本矯正歯科学会認定医の院長が2名在籍し、それぞれの視点から多角的に診断を行います。患者さま一人ひとりに合った治療方針を検討し、納得いただけるまで丁寧にご説明します。
矯正治療に特化した、
矯正専門クリニック
Orthodontics Specialist
矯正治療に特化した、
矯正専門クリニック
矯正治療を専門に行うクリニックとして、専門性を活かした質の高い治療をご提供しています。装置のトラブルや通院中の不安にも、できる限り柔軟に対応できる体制を整えています。
透明性の高い
カウンセリング
Clear Counseling
透明性の高い
カウンセリング
治療内容・期間・費用だけでなく、なぜその治療方針になるのかも丁寧にご説明します。患者さまの背景やご希望も踏まえながら、ご理解・ご納得いただいたうえで治療を進めていきます。
こどもから大人までの
幅広い層への治療
Care for All Ages
こどもから大人までの
幅広い層への治療
大学病院や医療機関での経験をもとに、3歳頃のお子さまから大人の方まで幅広い年代に対応しています。成長段階やお口の状態、ライフスタイルに配慮した矯正治療をご提案します。
矯正治療中の
口腔衛生管理
Oral Care Support
矯正治療中の
口腔衛生管理
矯正治療中に虫歯や歯ぐきのトラブルを防ぐため、ご自宅でのケア方法をわかりやすくお伝えしています。定期的なメインテナンスにも力を入れ、治療中のお口の健康をしっかり支えます。
徹底した
感染予防
Safety & Hygiene
徹底した
感染予防
日本歯科医師会が示す基準に沿って感染対策を徹底し、安心して通っていただける診療環境を整えています。衛生管理を大切にしながら、患者さまが不安なく受診できるよう努めています。
information
医院情報
清澄白河の矯正歯科|清澄白河駅前矯正歯科
ご予約・お問い合わせ
case
症例紹介
清澄白河の矯正歯科
清澄白河駅前矯正歯科
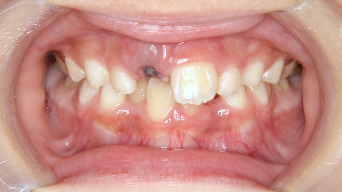
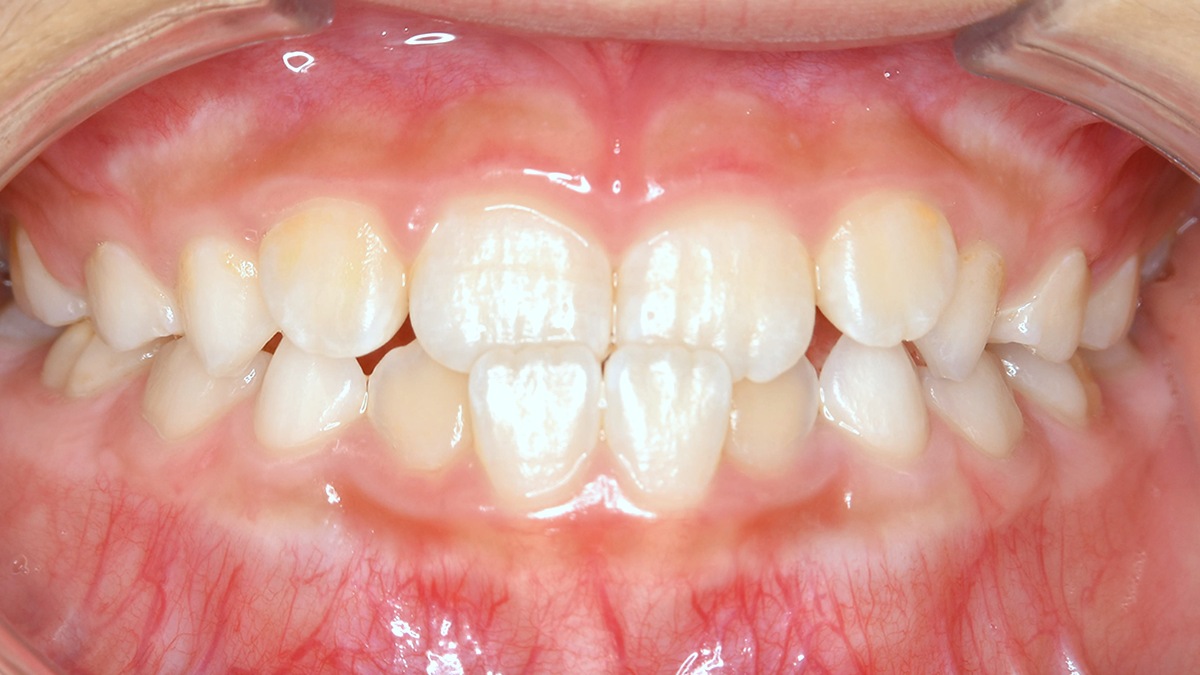
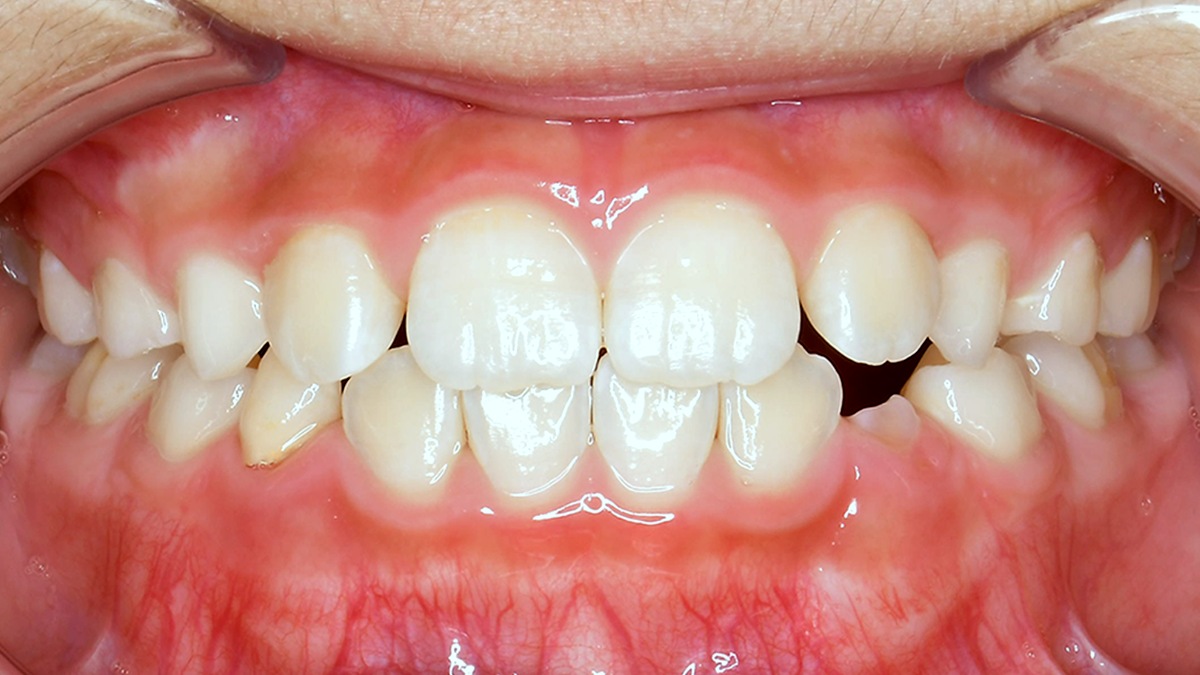
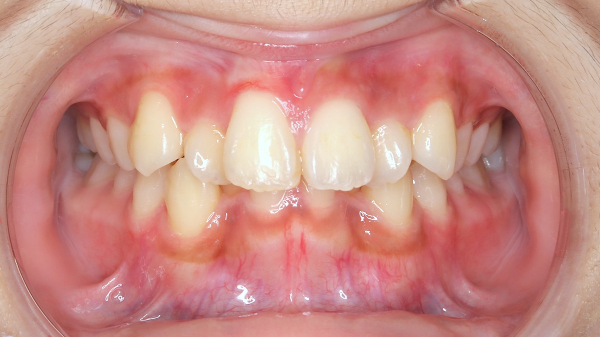
噛み合わせから美しさを設計する
矯正治療の実例。
清澄白河駅前矯正歯科では、歯並びの美しさだけでなく、噛み合わせや顎のバランスまで見据えた矯正治療を行っています。一人ひとりのお悩みや状態によって、選択する治療方法や治療期間は異なります。
ここでは、矯正治療の症例をもとに、治療によってどのような変化が生まれるのか、また、私たちが大切にしている治療設計の考え方をご紹介しています。「自分と近い症例を知りたい」「治療後のイメージを具体的に持ちたい」という方は、ぜひご覧ください。
equipment
院内設備
清澄白河の矯正歯科|清澄白河駅前矯正歯科
精密な診断と
安心につながる診療設備
当院では、iTero・セファロ・CTなどの設備を活用し、歯並びだけでなく骨格や噛み合わせまで多角的に確認しながら治療計画を立てています。
また、エアフローによるメインテナンスにも対応し、矯正治療中のお口の健康管理や見た目の清潔感にも配慮しています。
faq
よくあるご質問
清澄白河の矯正歯科|清澄白河駅前矯正歯科
矯正治療について、患者様からよくいただくご質問をまとめました。
治療を検討されている方は、ぜひ参考にしてください。
インスタグラム
清澄白河の矯正歯科
|清澄白河駅前矯正歯科





