清澄白河駅徒歩30秒の
矯正歯科医院
清澄白河駅前矯正歯科

電話予約お気軽に! WEB予約24h受付 アクセス診療時間

症例紹介

Case

  • TOP
  • 矯正症例③:成人矯正(二期治療)前歯がねじれている、歯がガタガタしている

著者:

矯正症例③:成人矯正(二期治療)前歯がねじれている、歯がガタガタしている

症例

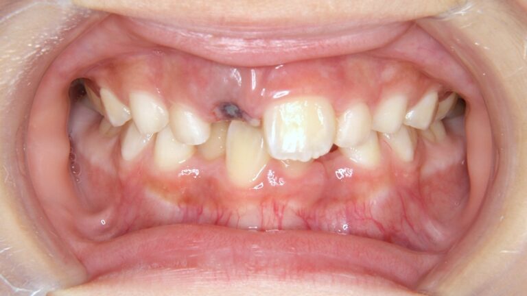
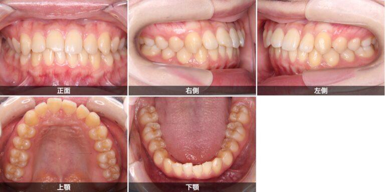
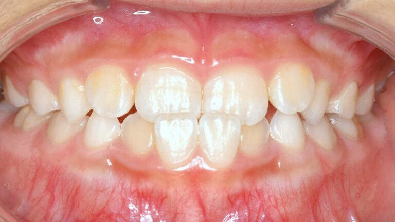
BEFORE AFTER

Before
After
年齢 年齢
主訴 前歯がねじれている、歯がガタガタしている
症状 初診時は上下顎ともにガタガタ(叢生)が認められ、歯がきれいに並ぶためのスペースが不足していました。
治療内容 叢生の改善にはスペース確保が必要なため、マルチブラケット装置とアンカースクリューを併用し奥歯を後方へ移動させることで、歯を抜かずに配列スペースを確保する方針としました。
奥歯を後方移動させたことで前歯部に十分なスペースが生じ、きれいな歯並びと良好なかみ合わせを獲得しました。抜歯を行わなかったため、もともとバランスの良かった口元の印象を大きく変えることなく、自然な仕上がりとなりました。
抜歯部位 なし
治療期間 2年6ヶ月
費用(税込) 99万円(税込)
治療のリスク 痛み・不快感・虫歯・歯周病・歯根吸収・歯肉退縮

関連記事

カテゴリ

当医院について

半蔵門線・大江戸線「清澄白河駅」徒歩1分。「通うのが楽しみになる」矯正歯科。日本矯正歯科学会認定医の女性歯科医師2名体制で、お一人おひとりの歯並びやライフスタイルに寄り添った丁寧な矯正治療を行っています。